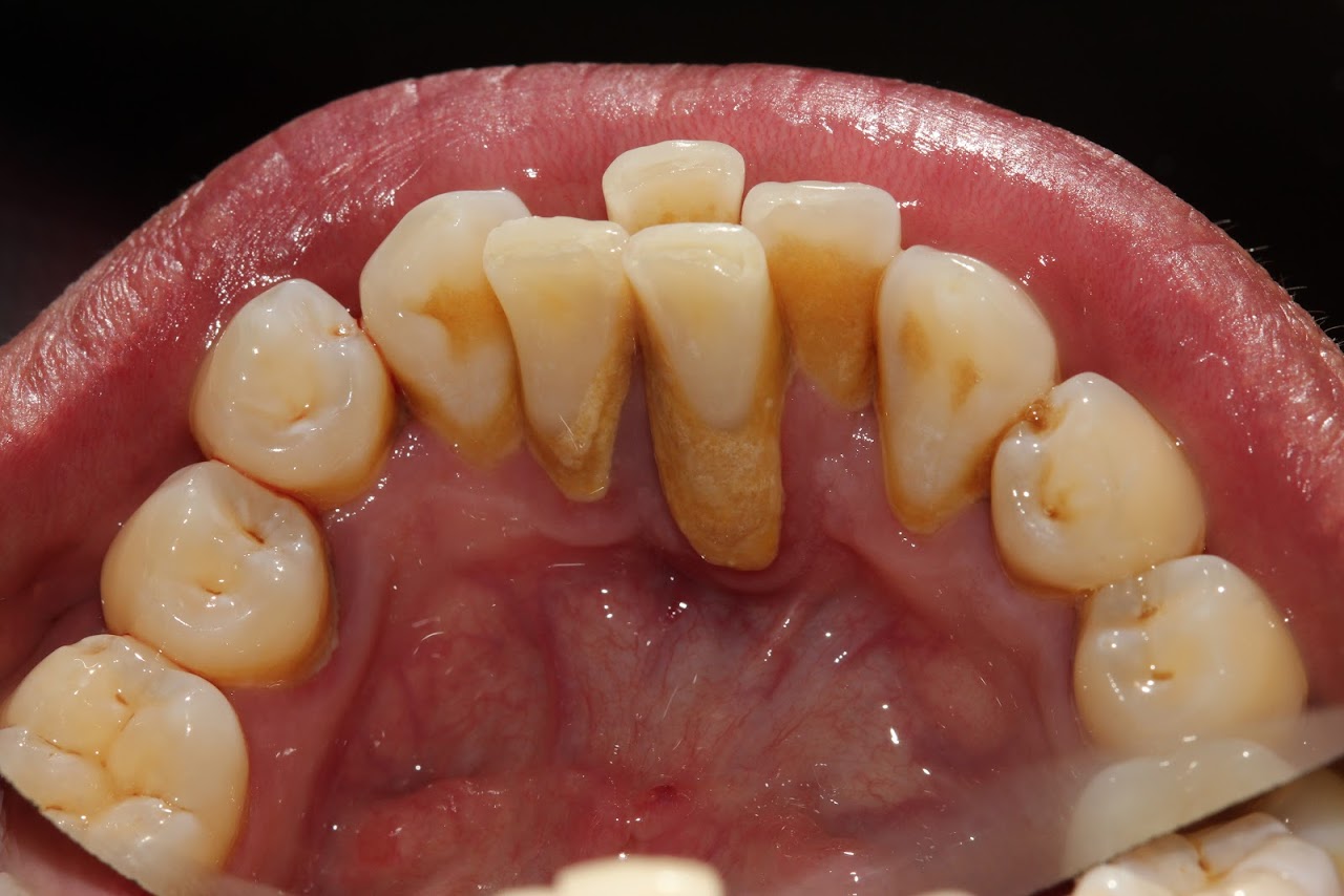
Eliminamos sarro, placa bacteriana y manchas de forma precisa y cómoda usando ultrasonido dental. Ideal para prevenir gingivitis y mantener encías sanas.


¿Qué es el ultrasonido dental?
Equipo que genera vibraciones ultrasónicas para desprender el sarro con mínima molestia. Usa agua para enfriar la punta y mejorar la limpieza.
- Rápido, seguro y preciso
- Auxilia en la prevención de gingivitis
- Debe ser utilizado por profesionales
¿En qué consiste una limpieza bucal?
Tratamiento en consultorio para eliminar manchas externas, sarro y placa bacteriana de dientes y encías. Se utilizan curetas o escareador ultrasónico (equipo). Al finalizar, pulido con pasta abrasiva fluorada para fortalecer la estructura dental gracias a la unión del flúor con los minerales del esmalte, que dan como resultado un esmalte más fuerte y resistente a la caries.
¿Qué incluye una limpieza dental?
- Enjuague antiséptico inicial
- Retiro de sarro con ultrasonido
- Pulido final y recomendaciones
- Técnica de cepillado personalizada
Costo de Profilaxis Ultrasónica en Veracruz
Desde $800
En algunos casos se requieren 2 sesiones para permitir que las encías desinflamen gradualmente, el costo es por sesión.
Todo sobre el sarro y la profilaxis


¿Listo para tu limpieza?
Atendemos en Veracruz y Boca del Río. Respuesta rápida por WhatsApp.