Cirugía Bucal

🦷 Extracción de Muelas del Juicio en Veracruz

¿Cuánto cuesta? ¿Duele? ¿Inflamación? — Te explicamos todo, paso a paso.

Dato: Los humanos normalmente tenemos 4 muelas del juicio (terceros molares).

Cirugía de muelas del juicio: guía rápida

En OdontoVer realizamos extracción de terceros molares con enfoque conservador, analgesia adecuada y protocolos para reducir la inflamación. Aquí encontrarás respuestas claras sobre indicaciones, costos y cuidados.

Extracción de muelas del juicio en Veracruz

El costo depende de la complejidad (posición, número de raíces, cercanía a nervios). Puedes preguntar para cotizar tu extracción dando click aquí. Utilizamos anestesia local y, si es necesario, esquema analgésico/antiinflamatorio. La inflamación es variable; solemos usar protocolos para minimizarla los primeros 3 días.

  • Pericoronitis (infección/Inflamación): cuando erupcionan parcialmente y se forma una bolsa periodontal bajo la encía.
  • Posición impactada: angulación que impide la erupción y puede dañar al molar vecino.
  • Ortodoncia: facilitar movimientos hacia atrás o crear espacio.
  • Fractura dental u otras razones clínicas.

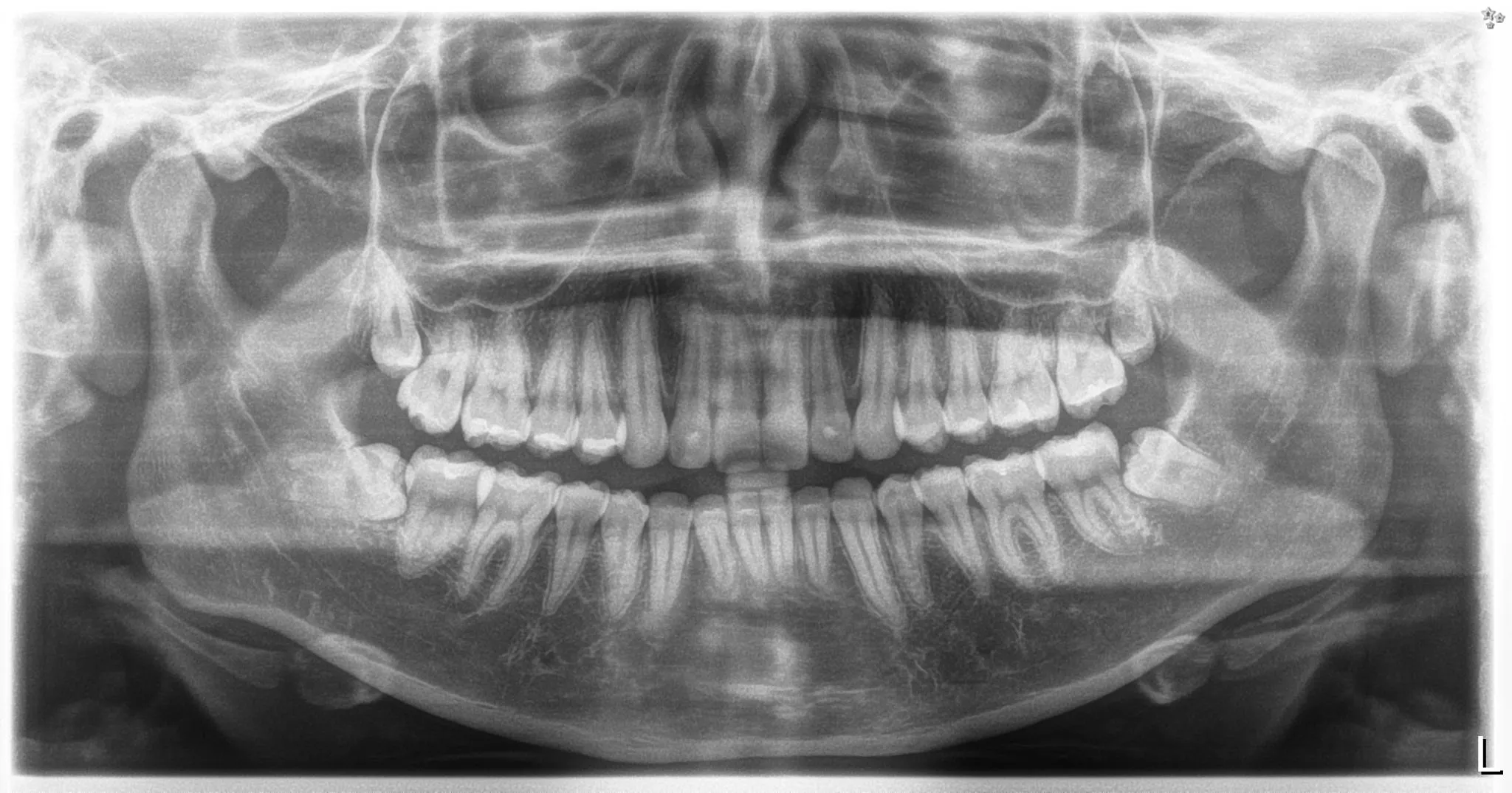
Mediante una radiografía panorámica evaluamos posición, desarrollo radicular, relación con el nervio dentario y posibles afectaciones al molar contiguo. Esto guía la planeación y reduce riesgos.
Radiografía panorámica de tercer molar

  • Biometría hemática con plaquetas
  • Tiempos de coagulación
  • Química sanguínea (glucosa)
Según antecedentes, se podrían solicitar estudios adicionales (p. ej. CTX si hubo bifosfonatos). La cirugía se realiza cuando los valores son adecuados.

Mantén una alimentación saludable días previos. El día del procedimiento come 2 horas antes para evitar malestares mientras dura la anestesia.

Sigue las indicaciones del especialista. Puedes sentir presión o ruidos, pero no debería haber dolor. Si lo hay, avisa para reforzar anestesia. Si ayuda a relajarte, puedes usar audífonos con música,

Te daremos un esquema personalizado; como guía, consulta nuestras Indicaciones postoperatorias. Incluyen control de sangrado con gasa, medicamentos, dieta blanda, evitar enjuagues y popote, y hielo local por 20 min (intervalos).

Es esperable algo de inflamación. Usamos protocolos (antiinflamatorios y medidas locales) para minimizarla en los primeros días. Aplica hielo, sigue la medicación y evita esfuerzos. Si notas algo inusual, contáctanos.
Dra. Lilia Angélica Pérez Hernández, Cirugía Bucal
Especialista a cargo

Dra. Lilia Angélica Pérez Hernández

Cirujano Dentista — Especialista en Cirugía Bucal

  • Especialista en Cirugía Bucal — CEYESOV (Céd. Esp. 13203190)
  • Certificación en Implantología Oral — Federación Internacional de Implantología Oral

Aviso de Publicidad: 2330082002A00036

Precios orientativos

Varían según complejidad (posición, raíces, cercanía a nervios).

  • Consulta: $800
  • Consulta + Escaneo 3D: $1200
  • Radiografía dental: $150

Formas de pago: Efectivo, tarjetas, transferencia.

Opciones a meses sin intereses (según disponibilidad).

¿Cómo se realiza?
Registro y antecedentes

1. Registro y pruebas

Conocemos tu historial, radiografía, tomografía y estudios de laboratorio.

Exploración

2. Análisis y diagnóstico

Revisión clínica y plan de tratamiento personalizado con presupuesto.

Estudios y análisis

3. Cirugía bucal

Anestesia local, retiro del tercer molar, y prescripción de medicamentos.

Plan de tratamiento

4. Revisión y alta

Cita de revisión y retiro de puntos a los 7 dias, alta del caso.

¿Cómo limpiar tu lengua?

Mejora la higiene lingual con un raspador: reduce halitosis y placa bacteriana.

Más información en nuestro blog

¿Listo para agendar tu cirugía?

Resolvemos tus dudas por WhatsApp. Respuesta el mismo día.

WhatsApp