
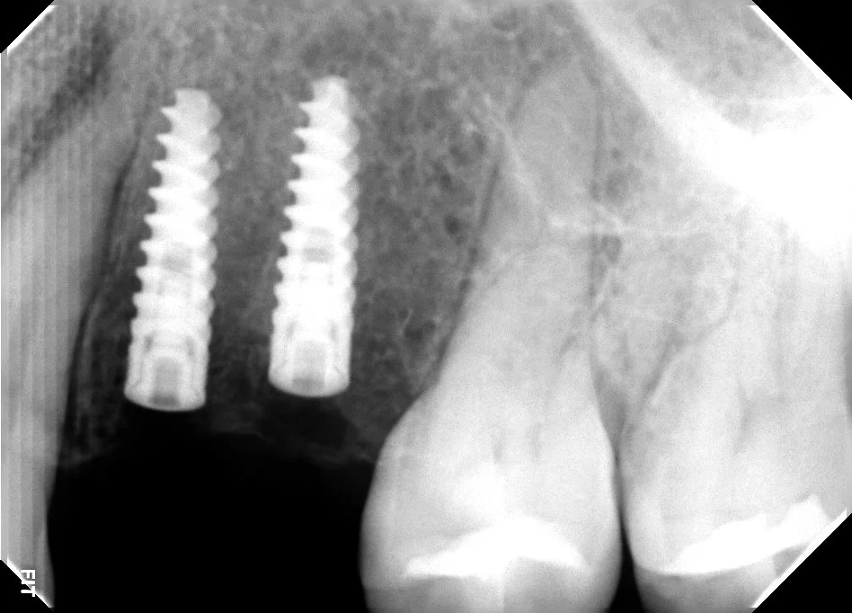
Cirugia Guiada (Implantes)
El sistema guiado para implantes ayuda a una colocación del implante de acuerdo a una planeación digital.
Reemplaza dientes perdidos con soluciones modernas y duraderas
Es un pilar de titanio o zirconia que sustituye la raíz del diente perdido. Sobre él se coloca una corona o una prótesis fija/removible. Permite recuperar función, estética y masticación sin tallar dientes vecinos.
Resultado natural en color y forma.
Recupera la mordida con estabilidad.
Planeación y guías quirúrgicas 3D.
Materiales biocompatibles y resistentes.
Reemplaza un diente. Materiales: zirconia o disilicato de litio.
Para varios dientes contiguos ausentes, apoyado en 2+ implantes.
Removible con locators (mucha retención, fácil higiene).
Fija total (arcada completa) atornillada a implantes.
El sistema guiado para implantes ayuda a una colocación del implante de acuerdo a una planeación digital.
El proceso de colocación de implantes se realiza mediante un flujo digital, lo que nos asegura una planeación adecuada y segura para la adecuada colocación del implante dental.
Arcada inferior con alta retención y comodidad, removible para higiene diaria. Gran mejora de estabilidad.
Agenda tu valoración. Atendemos en Veracruz y Boca del Río.